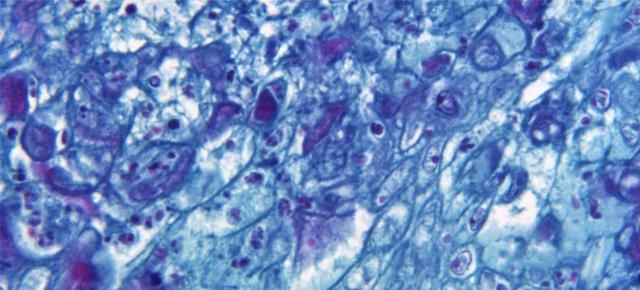
La transmisión sostenida de la viruela del mono puede hacer que llegue a los grupos de alto riesgo
La Organización Mundial de la Salud está preocupada porque la transmisión sostenida de la viruela del mono pueda hacer que el virus llegue a grupos de alto riesgo.
“Me preocupa la transmisión sostenida porque sugeriría que el virus se está estableciendo y podría pasar a los grupos de alto riesgo, incluidos los niños, los inmunodeprimidos y las mujeres embarazadas. Estamos empezando a ver esto con varios niños ya infectados”, dijo el doctor Tedros Adhanom Gebreyesus, el director general de la Organización.
Un experto de la OMS detalló de que Reino Unido ha informado de dos casos en niños, aunque precisó que en esta categoría entran todos los menores de 18 años. Francia y España tienen casos por confirmar. Todos tienen síntomas leves.
«No obstante, es un grupo de edad que realmente nos preocupa, aunque sean [casos] leves, así que tenemos que hacer todo lo posible para controlar este brote a través de las medidas sanitarias existentes», declaró el doctor Abdi Mahamud, coordinador del Equipo de Emergencias.
Por el momento, se han detectado 3413 los casos de viruela del mono en cincuenta países
El pasado fin de semana el Comité de Emergencias de la Organización recomendó no declarar el brote una emergencia de preocupación internacional, como el COVID-19. La decisión, aunque finalmente se adoptó por consenso, no fue unánime ya que tres de los 14 miembros del Comité consideraron que sí reunía las condiciones. El Comité recomendó a Tedros que lo vuelva a convocar tan pronto como haya nueva información sobre el virus.
El revés contra el aborto seguro en Estados Unidos costará vidas, dice la OMS
Tras la decisión del Tribunal Supremo de Estados Unidos de anular la protección federal al aborto, la OMS reiteró que todas las mujeres deben poder elegir sobre su cuerpo y su salud.
El doctor Tedros defendió que el aborto seguro es parte de la asistencia sanitaria y que restringirlo empuja a las mujeres y a las niñas hacia los abortos inseguros, que provocan complicaciones e, incluso, muertes.
“Las pruebas son irrefutables. Limitar el acceso al aborto seguro cuesta vidas y tiene un gran impacto, especialmente en las mujeres de las comunidades más pobres y marginadas”, sostuvo Tedros.
En los últimos 40 años, la tendencia mundial es que las mujeres tengan un mayor acceso al aborto seguro, añadió el director general, que consideró un “revés” la sentencia en Estados Unidos. “Es más importante que nunca unirse para proteger el derecho de las mujeres al aborto seguro, en todas partes”, concluyó.
Bachelet: Venezuela da pasos positivos, pero preocupa la independencia judicial
La Alta Comisionada para los Derechos Humanos dijo que Venezuela ha hecho algunos avances relacionados con la justicia, la policía y la detención, pero le sigue preocupando la falta de independencia judicial y la criminalización de la disidencia.
Michelle Bachelet presentó al Consejo de Derechos Humanos un informe que detalla la situación entre mayo de 2021 y abril de 2022.
Entre los avances, destacó la reestructuración de la policía nacional y la «disolución» oficial de las Fuerzas de Acciones Especiales o FAES. Mencionó que además ha habido una reducción del número de muertes en operaciones de seguridad.
Bachelet destacó las preocupaciones por la reelección de los miembros del Tribunal Supremo más allá de doce años y los vínculos de los magistrados con partidos políticos.
“Es muy importante fortalecer la independencia judicial y la separación de poderes en Venezuela. En línea con mis recomendaciones anteriores, exhorto a las autoridades a aumentar el nombramiento de una proporción más amplia de jueces titulares mediante un proceso público y transparente”, dijo.
El equipo de Bachelet documentó 166 restricciones indebidas del espacio democrático y cívico, incluida la estigmatización, la criminalización y las amenazas contra las voces disidentes. “La desacreditación de estos por medios de comunicación institucionales continua”, sostuvo la Alta Comisionada.
La acuicultura, decisiva para acabar con el hambre
El crecimiento de la acuicultura, que ha llevado la producción pesquera y acuícola a un máximo histórico, será decisiva para lograr mayor seguridad alimentaria y acabar con el hambre, según un informe de la Organización de las Naciones Unidas para la Alimentación y la Agricultura (FAO) publicado hoy.
En la edición de 2022 de El estado mundial de la pesca y la acuicultura (SOFIA), presentada en la conferencia sobre los Océanos de Lisboa, se señala que en 2020 el crecimiento de la acuicultura, particularmente en Asia, hizo que la producción pesquera y acuícola total alcanzara un máximo histórico de 214 millones de toneladas.
La FAO indica que, ante este crecimiento, es necesaria “una transformación azul”. “Debemos transformar los sistemas agroalimentarios para asegurarnos de que los alimentos acuáticos se capturen de forma sostenible y también de que se salvaguarden los medios de vida y se protejan los hábitats acuáticos y la biodiversidad’’, explicó el director general QU Dongyu.
FUENTE DE LA INFORMACIÓN : https://news.un.org/es/story/2022/06/1511082




